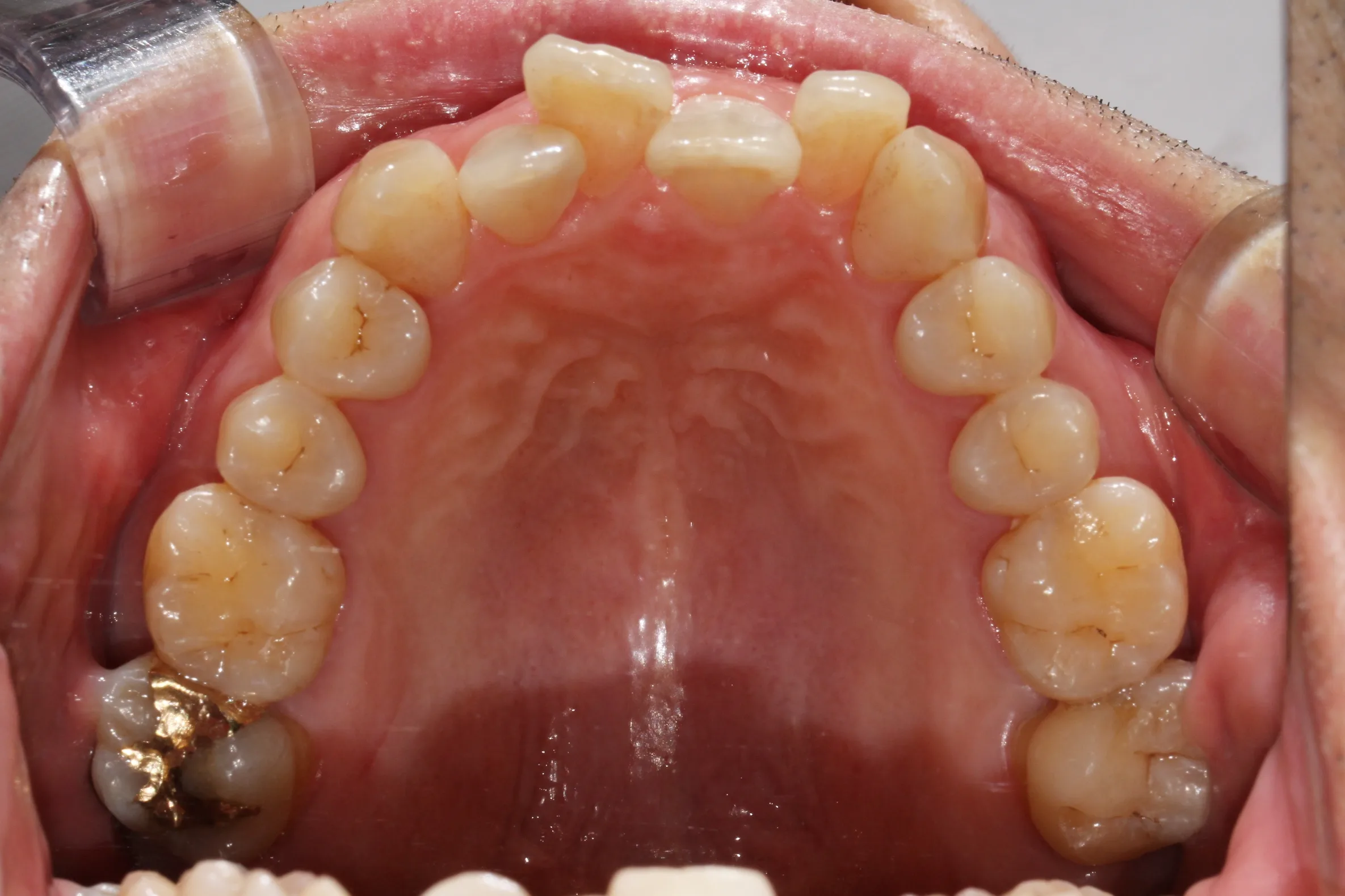
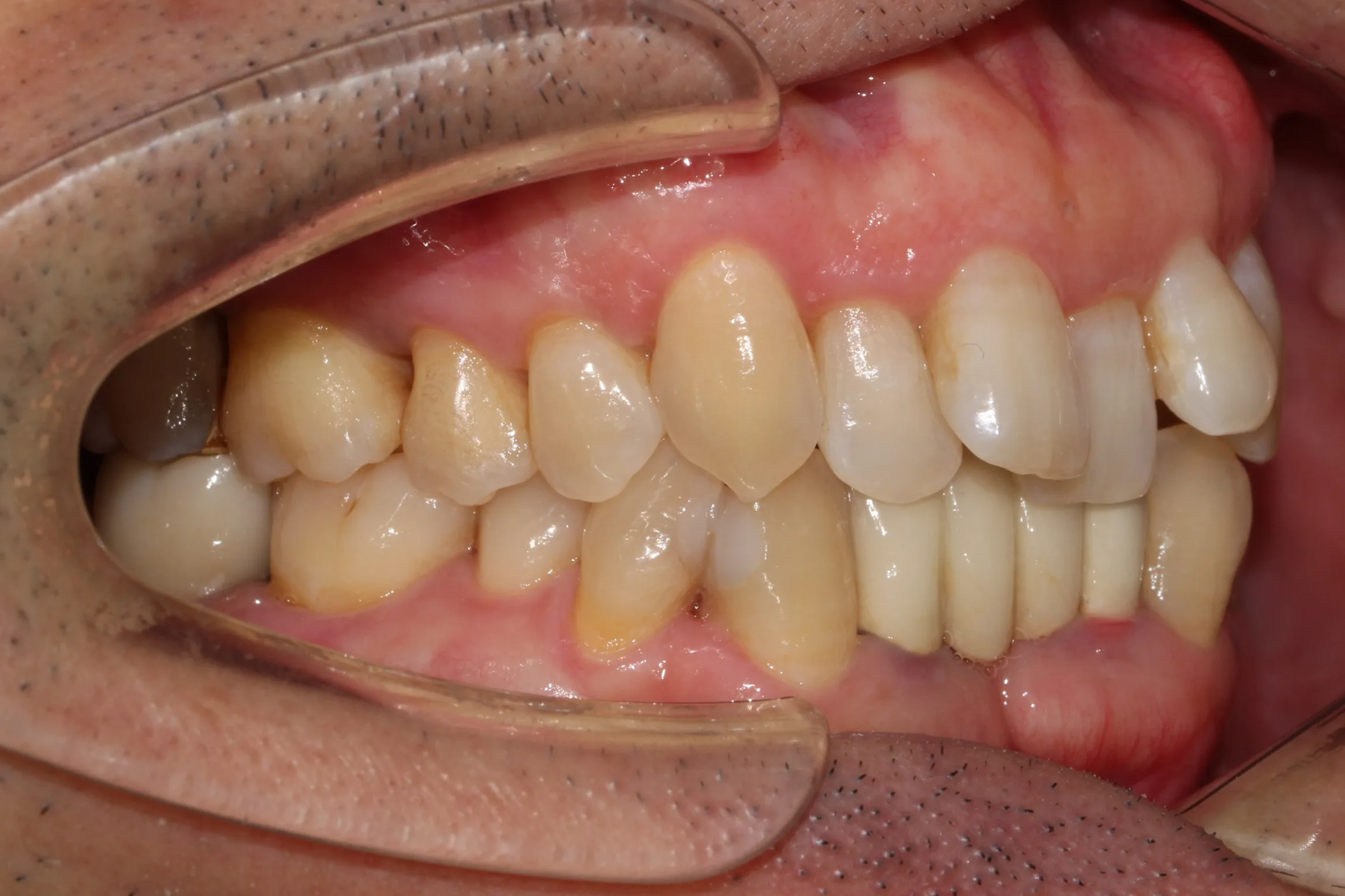
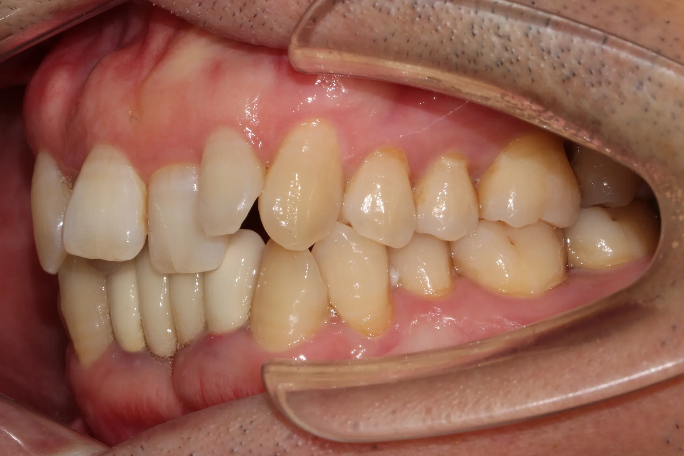
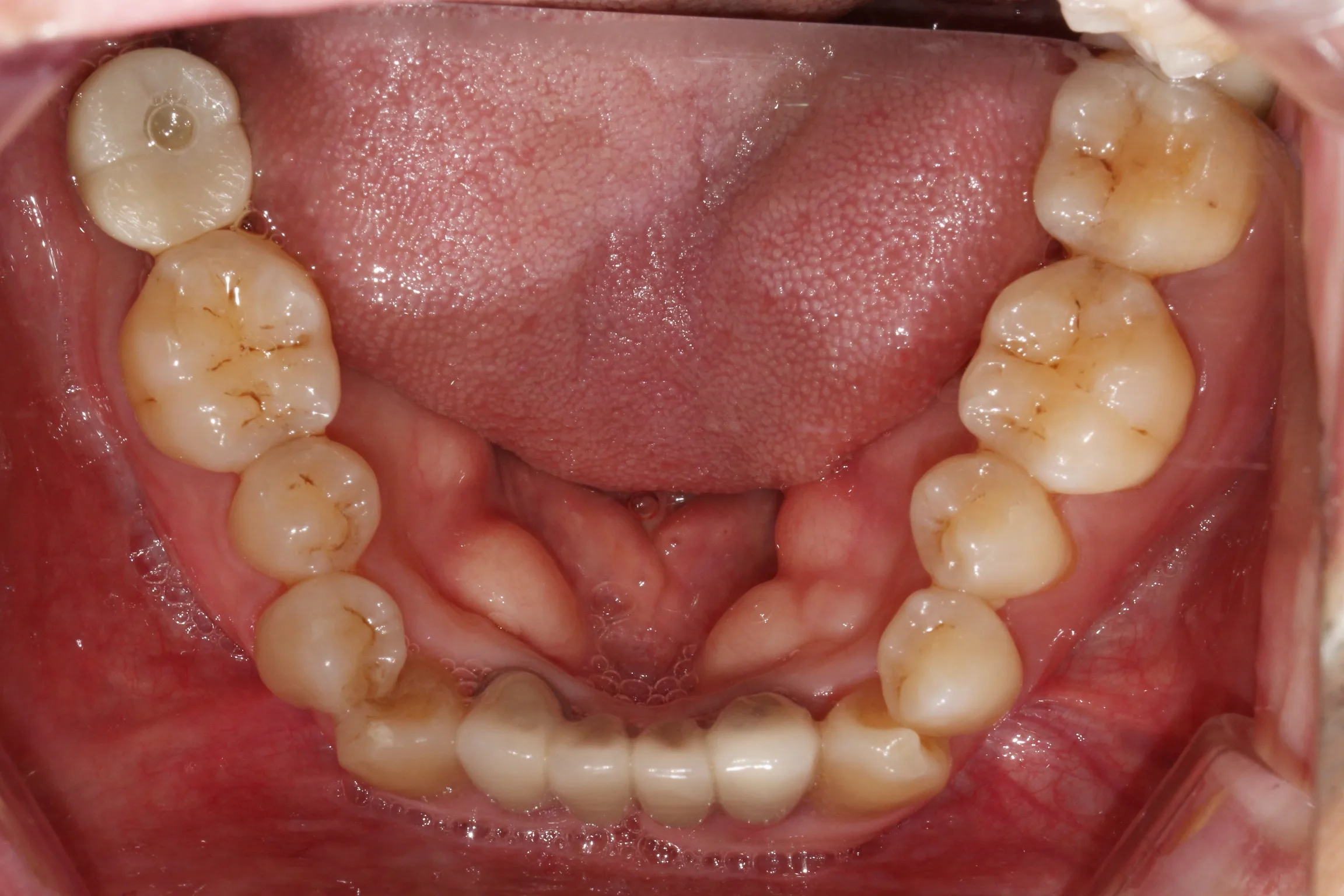
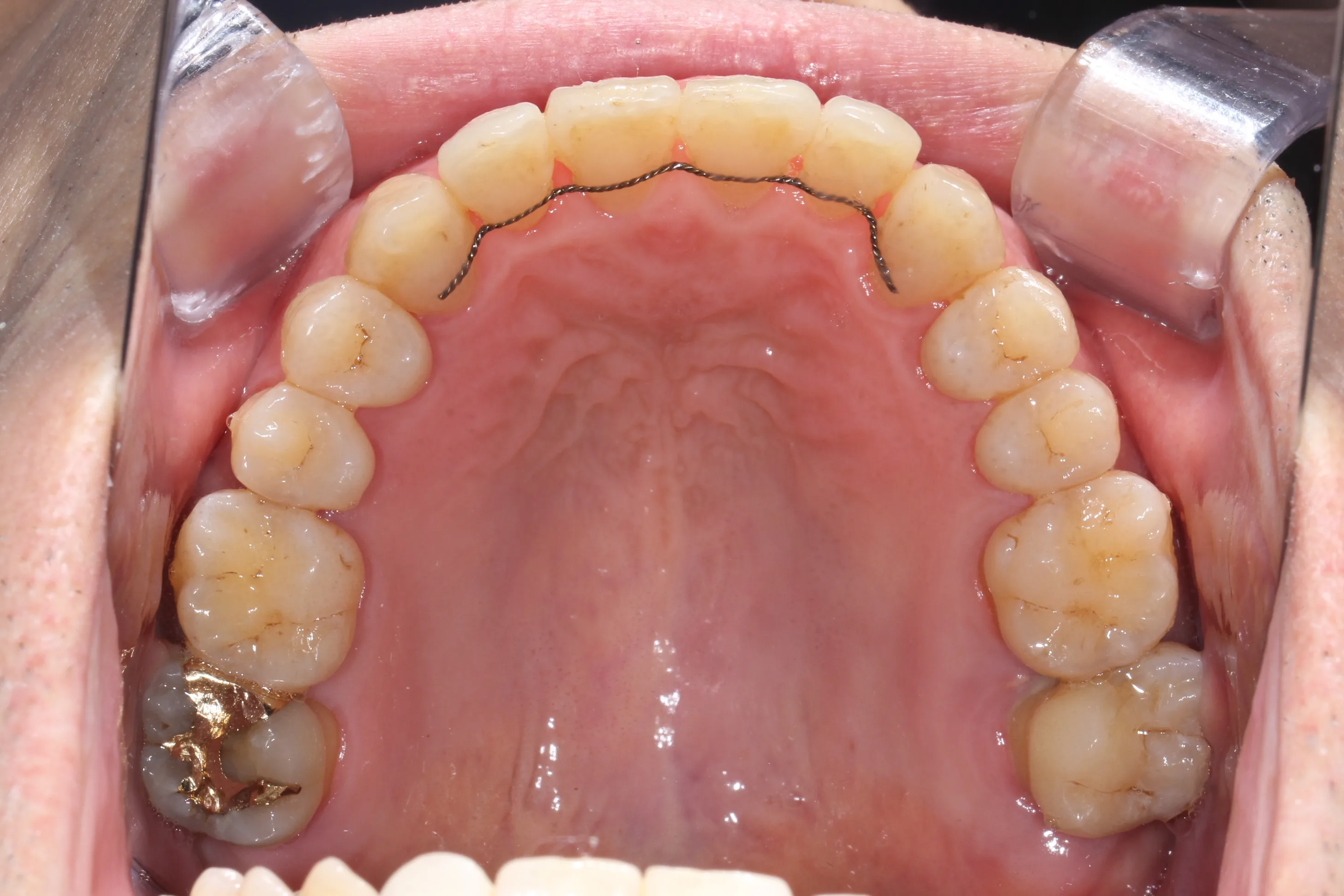
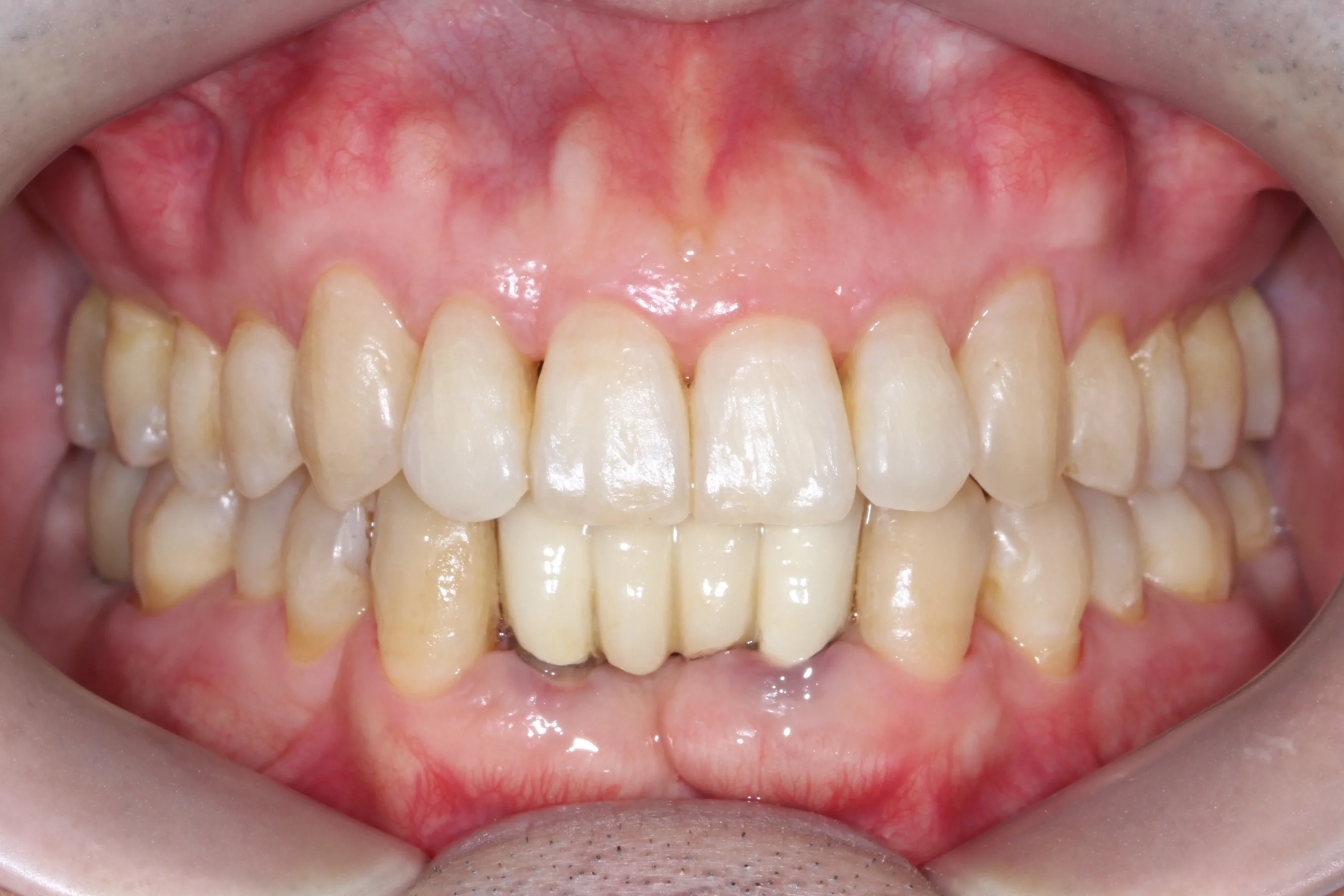
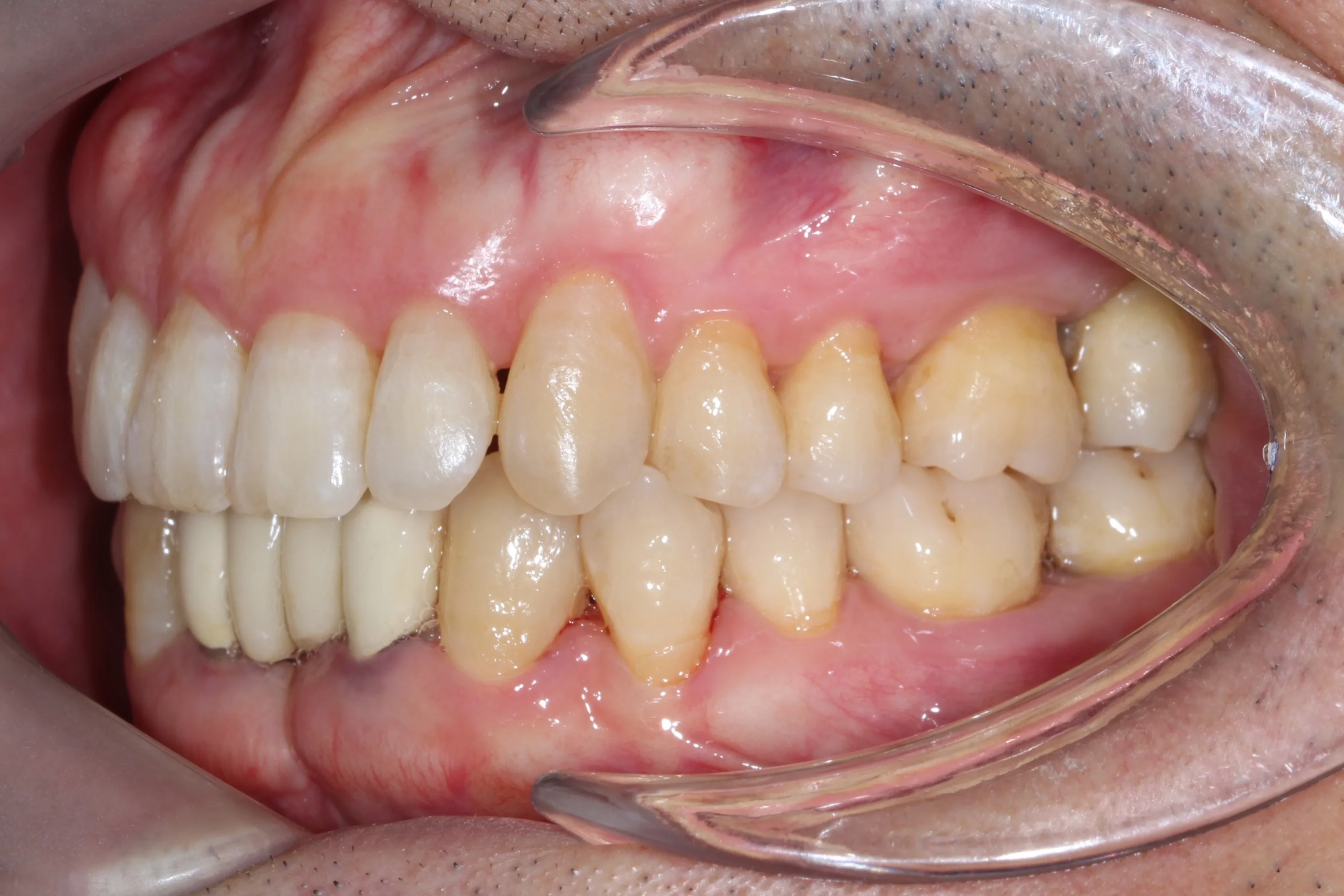
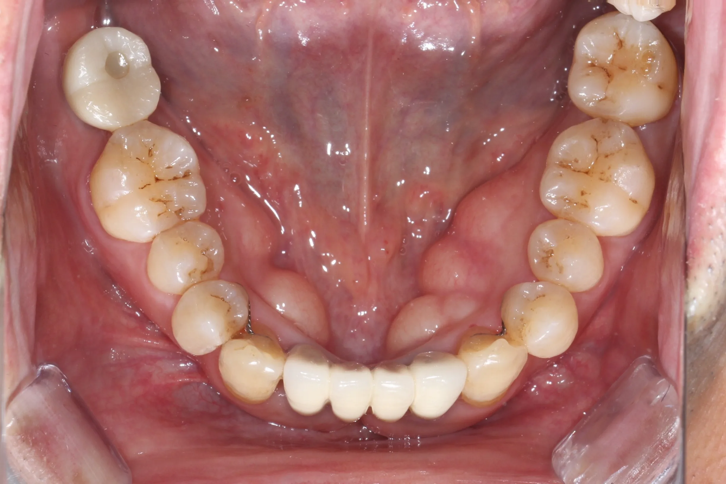
만 48세 남성 환자분께서 심한 앞니 총생(crowding)을 주소로 내원하셨습니다. 본 증례의 핵심 제약 조건은 하악 전치부의 4-unit 브릿지와 구치부 임플란트였습니다. 보철물은 교정력으로 이동이 불가능하므로, 이를 치료 중 고정원(fixation)으로 적극 활용하는 전략이 필요했습니다.
하악 치열궁 길이는 보철물로 인해 고정된 상태였기에, 부족한 공간은 인접면 삭제(IPR)를 통해 정밀하게 확보하였습니다. 상악은 순차적 후방이동(sequential distalization)과 IPR을 병행하여 2급 교합을 1급으로 개선하였습니다. 미니스크류나 악간 고무줄 없이도 효율적인 치아 이동이 가능했습니다.
보철물을 장애물이 아닌 교정의 자산으로 활용하여, 기존 보철물 재제작 없이 가지런한 치열과 안정적인 교합을 완성해 드렸습니다. 복잡한 성인 교정일수록 정확한 클린첵(ClinCheck) 시뮬레이션을 통한 공간 분석이 치료의 성패를 결정짓는 핵심입니다.









