아너스치과교정과 최광효 원장입니다. 만 40대 여성 환자분의 인비절라인 교정 증례를 소개합니다.
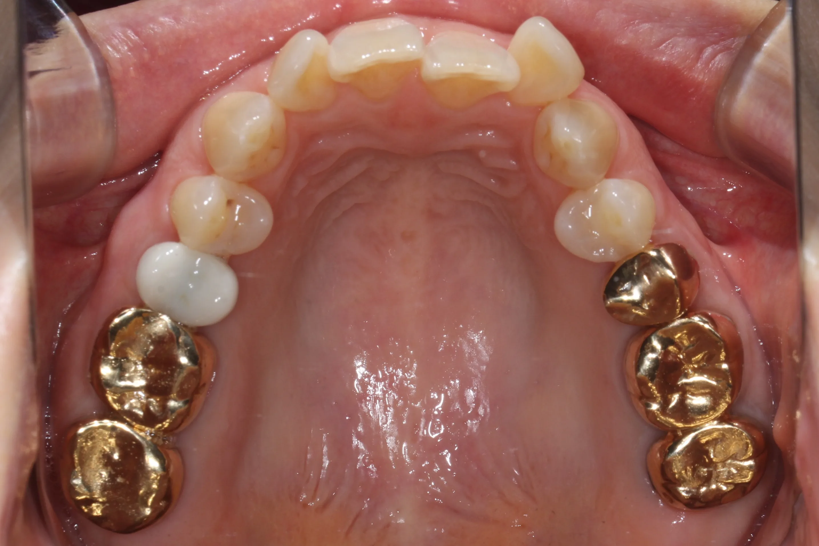
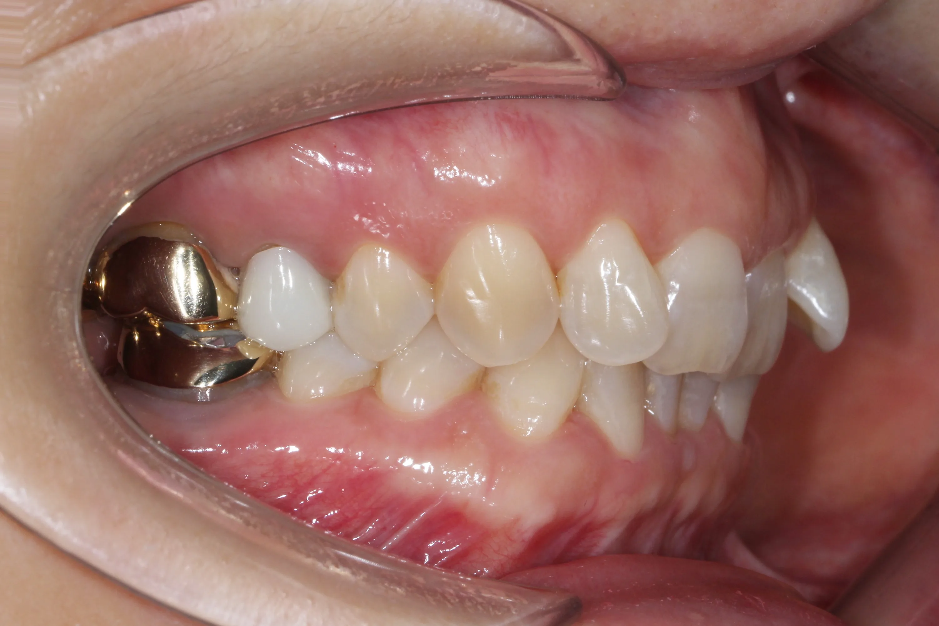
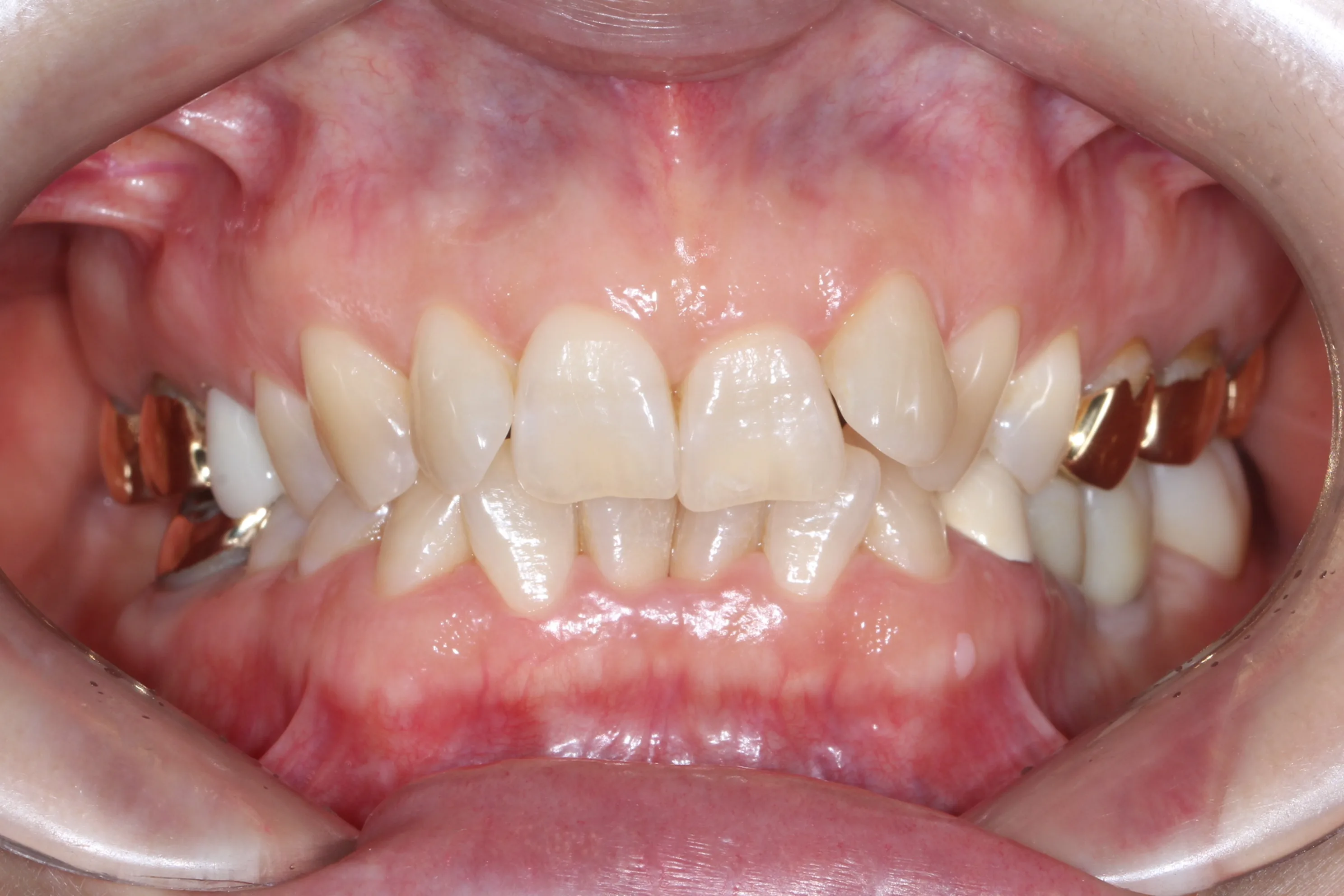
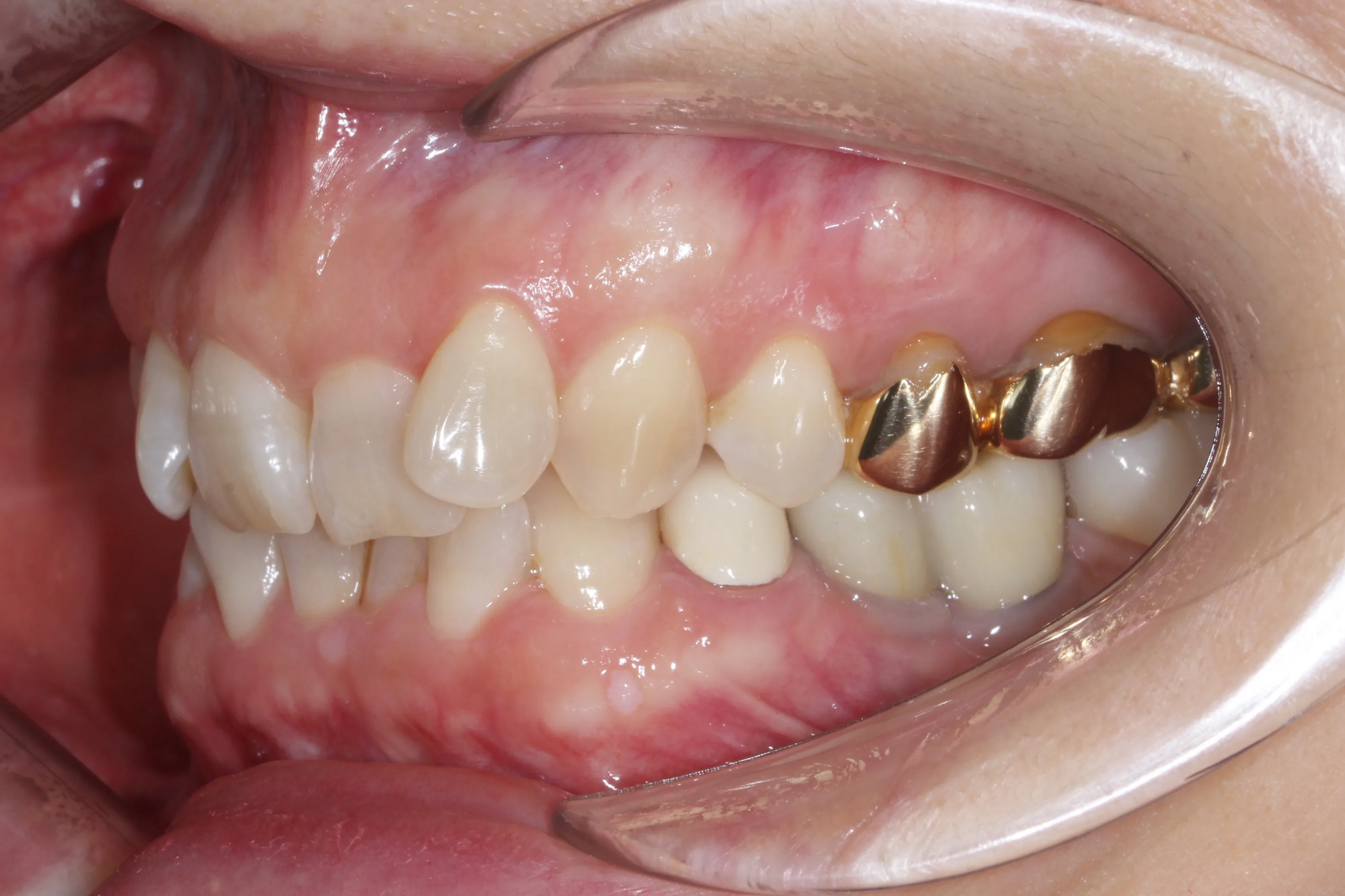
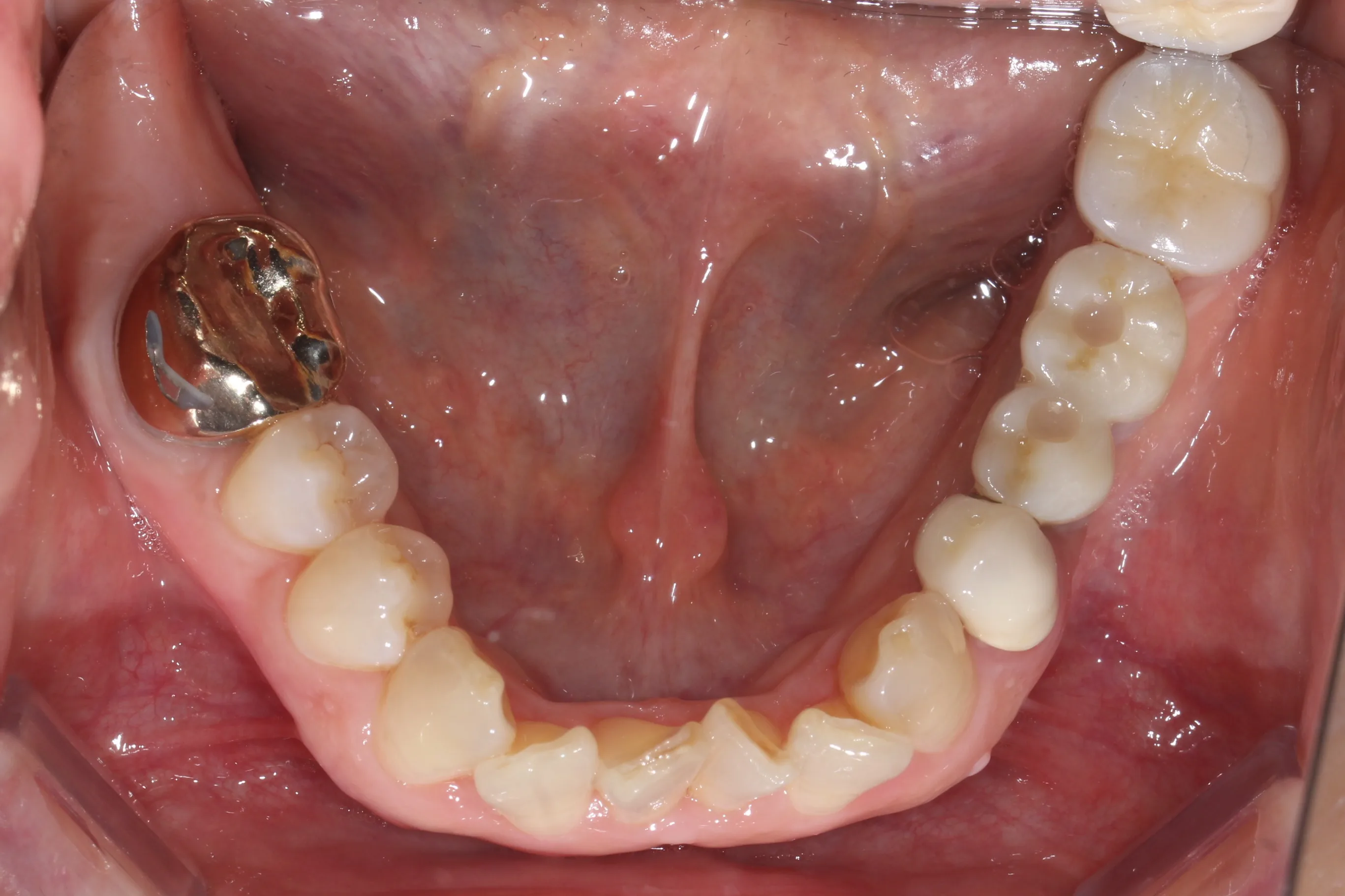
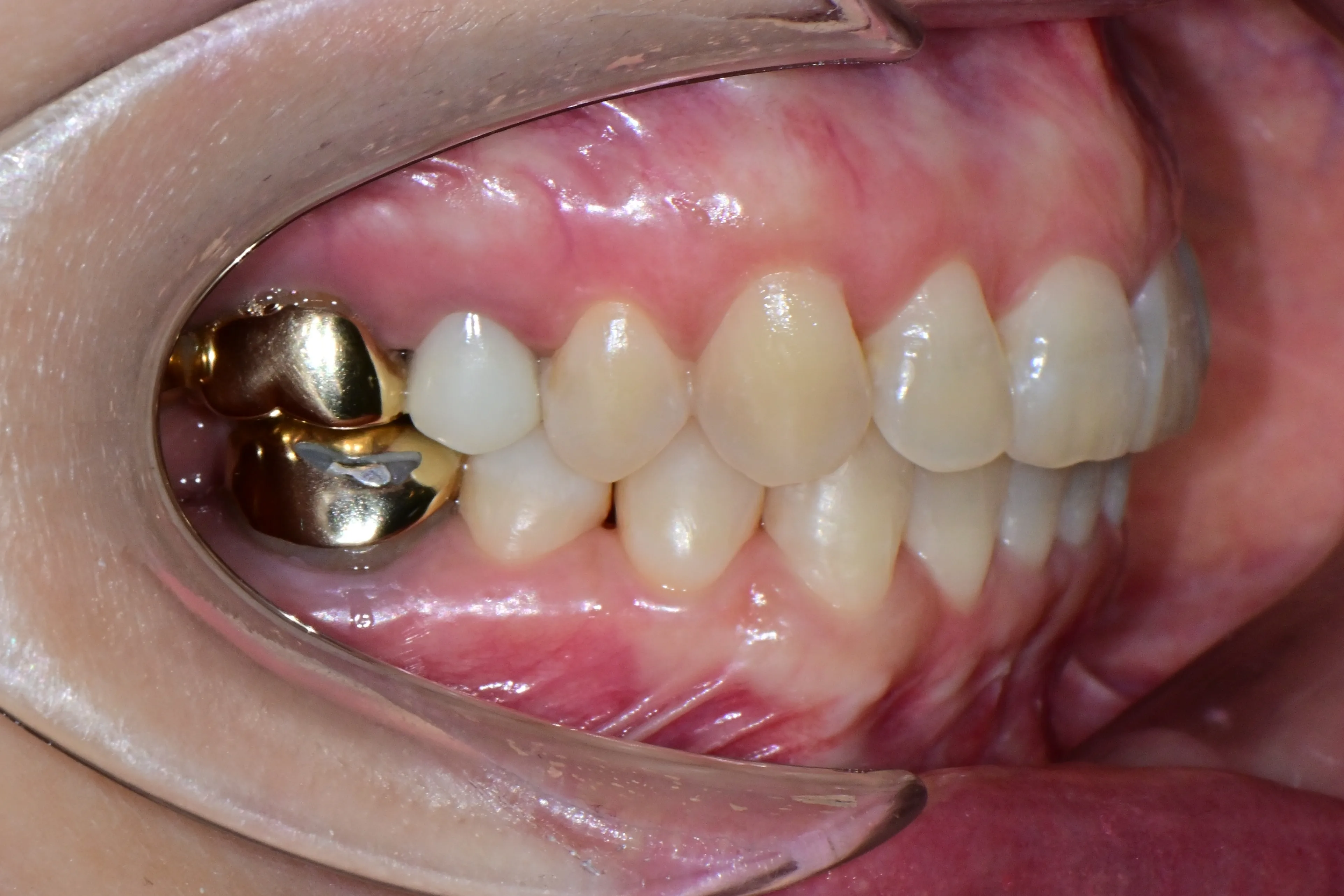
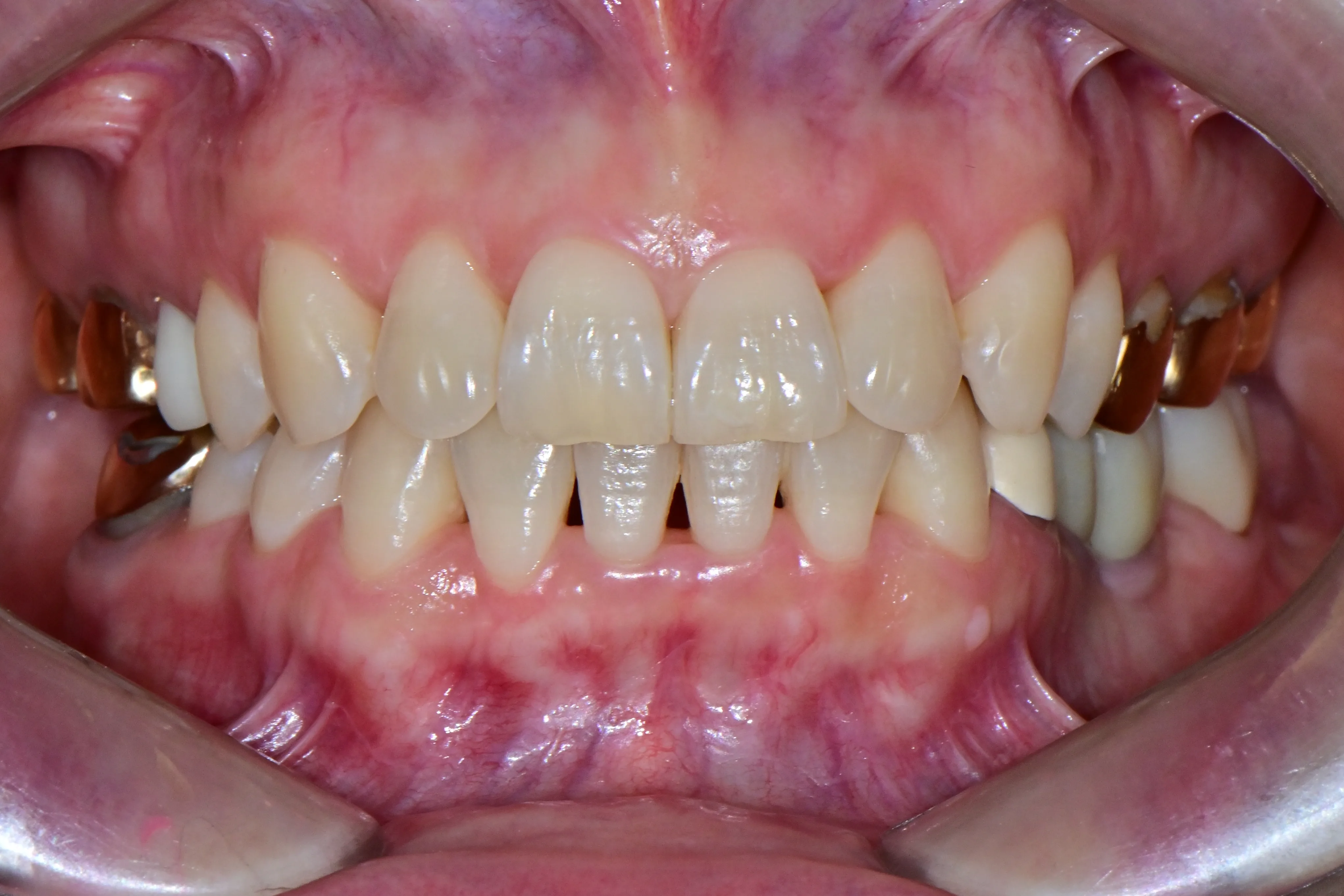
이 환자분은 이미 구강 안에 여러 개의 임플란트와 브릿지 보철물이 있는 상태였습니다. 앞니는 가지런하지 않고, 윗니가 아랫니를 깊게 덮는 과개교합(deepbite)도 있었습니다. 이런 경우 가장 중요한 것은 기존 임플란트와 보철물의 교합을 그대로 유지하면서, 나머지 치아만 가지런하게 배열하는 것입니다.
인비절라인의 디지털 치료 계획을 활용해서, 임플란트와 보철물이 있는 어금니는 움직이지 않도록 고정하고 앞니 위주로만 이동시켰습니다. 덕분에 발치 없이, 고무줄이나 미니스크류 같은 추가 장치 없이도 15개월 만에 치료를 마무리할 수 있었습니다.
보철물이나 임플란트가 많다고 교정이 어려운 것은 아닙니다. 오히려 이를 고정원으로 활용하면 치료 효율이 높아지는 경우도 있습니다.









