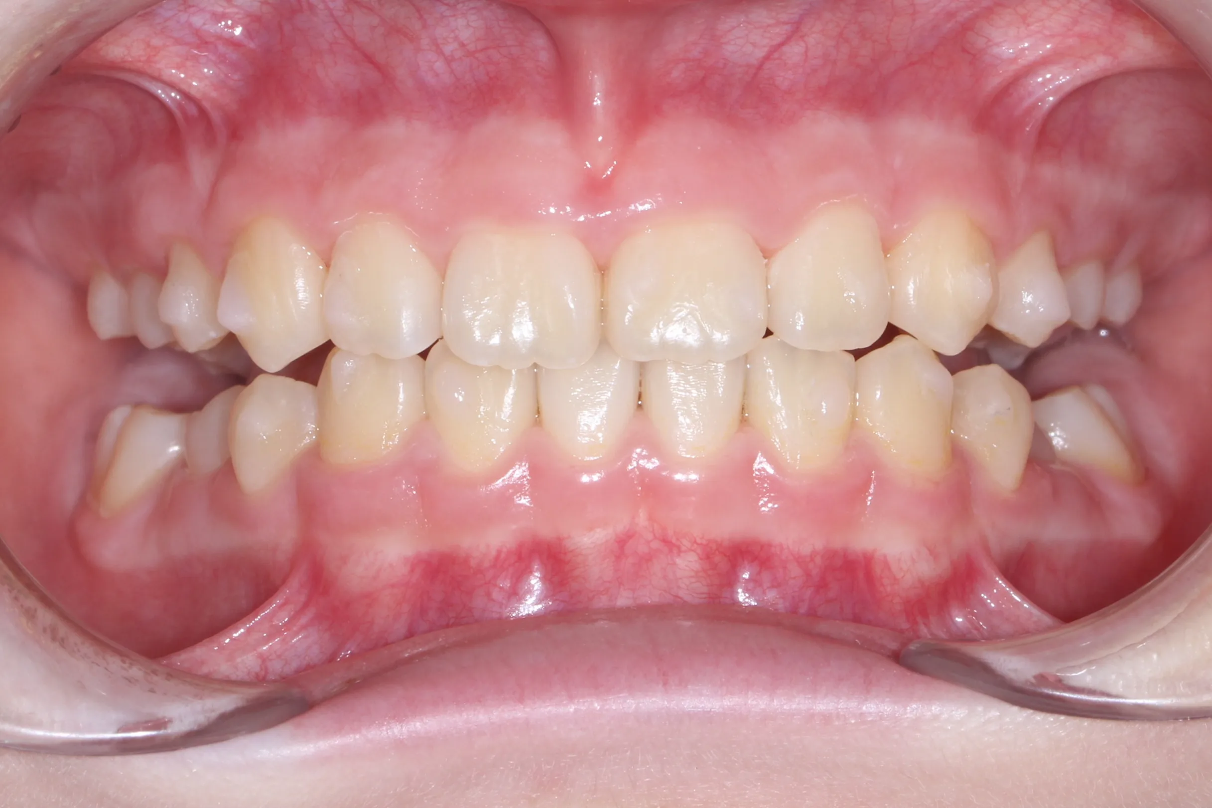
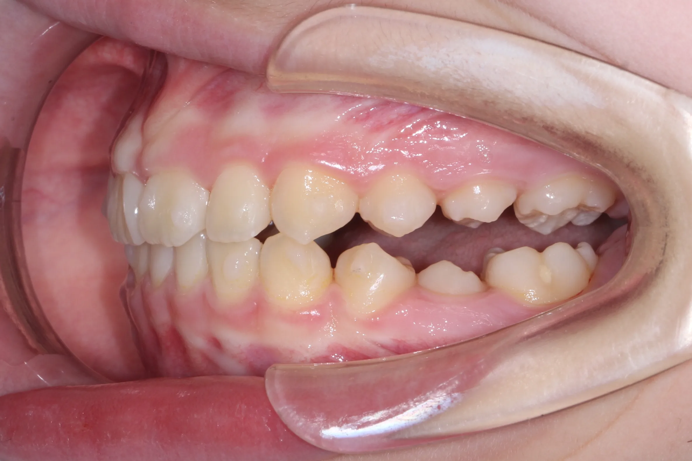
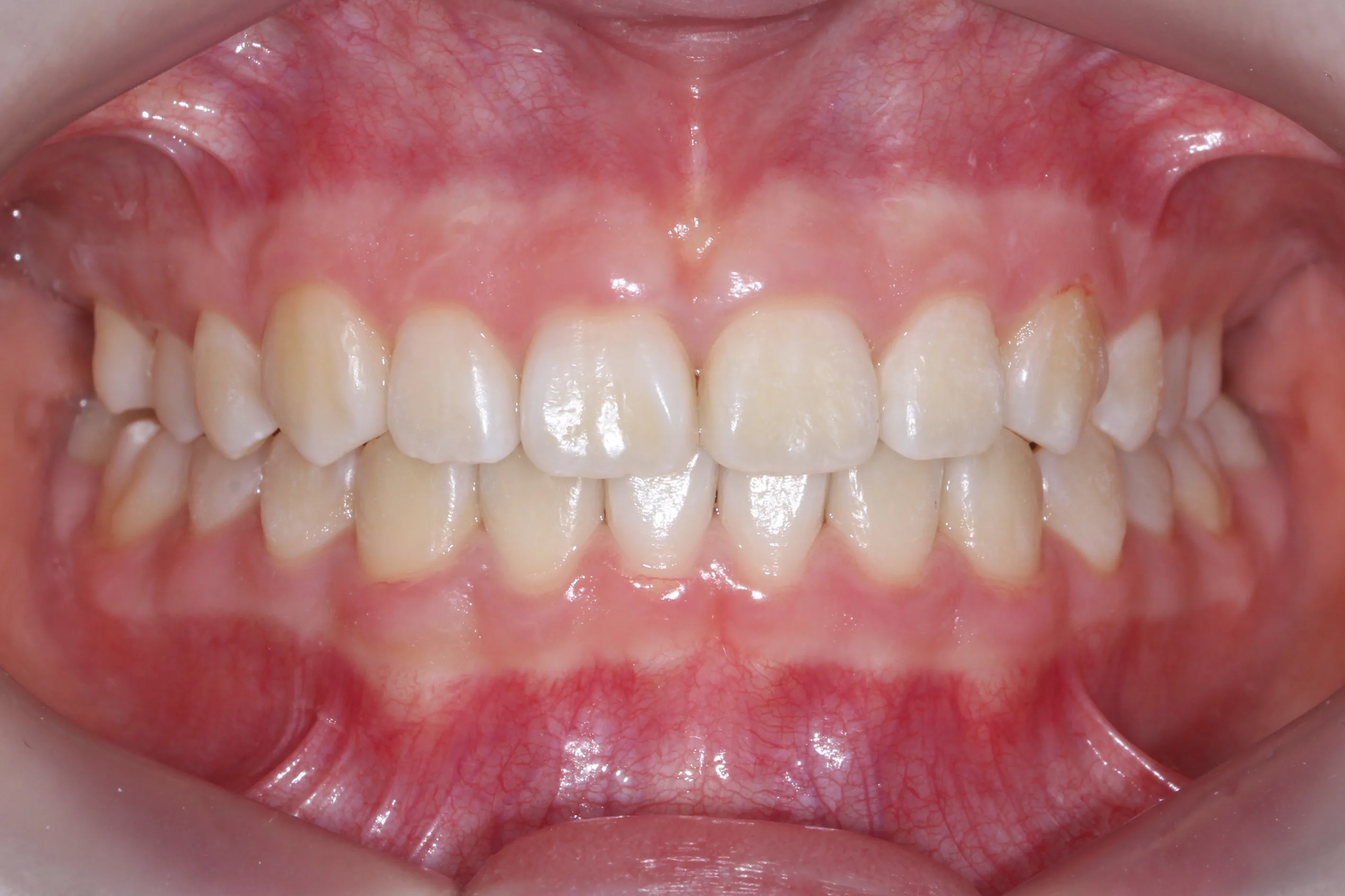
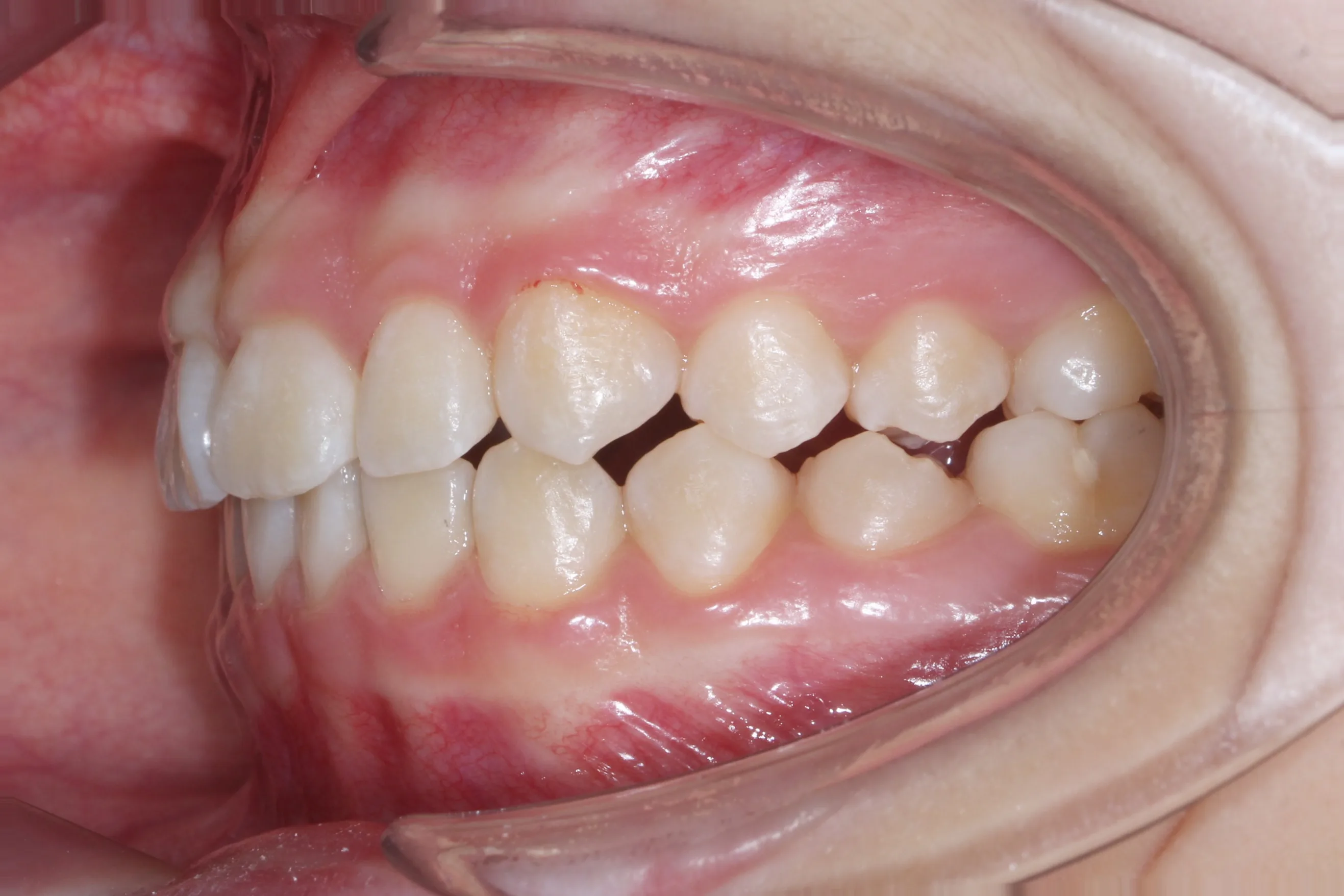
만 11세 환자분께서 튀어나온 앞니와 다물어지지 않는 입술 때문에 내원하셨습니다. 검진 결과 상악 전돌을 동반한 2급 부정교합(Class II malocclusion) 상태였으며, 아래턱의 성장이 다소 부족하여 골격적인 조화가 필요한 상황이었습니다.
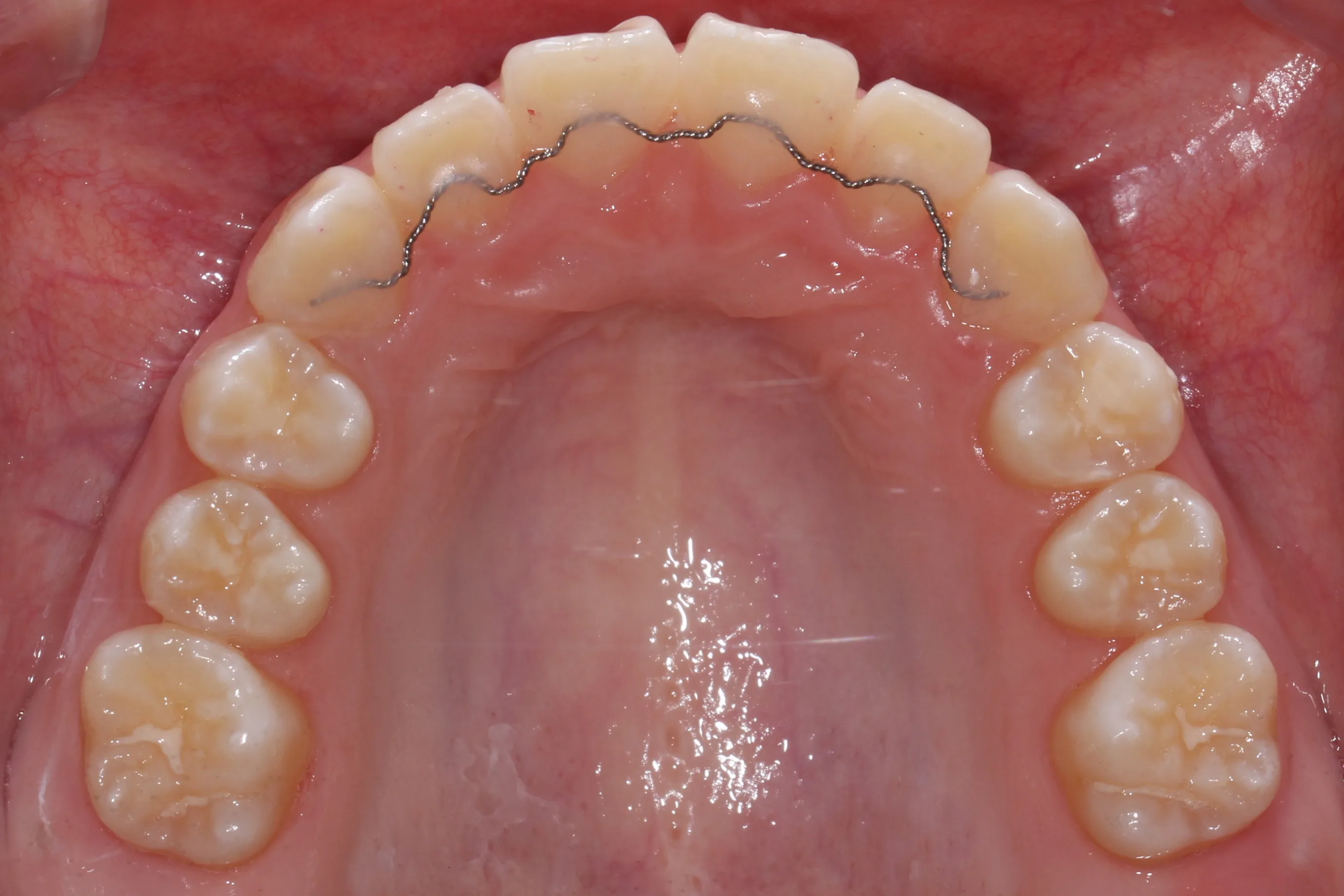
이번 치료에는 인비절라인 퍼스트(Invisalign First)에 하악 전방 견인(Mandibular Advancement, MA wing)을 추가하여 치료를 진행하였습니다. 성장기라는 시기적 특성을 적극 활용하여 아래턱의 점진적인 성장을 유도하고, 과도한 상악 전치부 돌출을 개선하는 데 치료의 핵심 전략을 두었습니다.
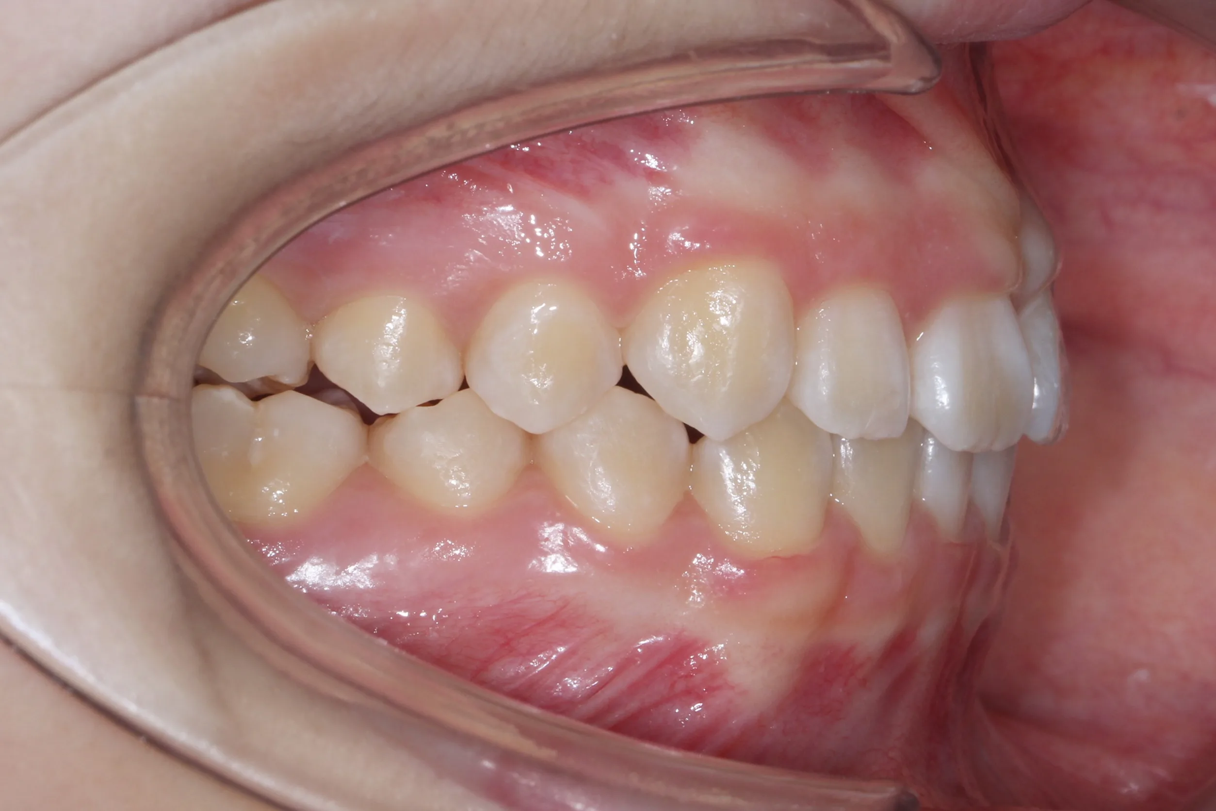
2년 7개월의 치료 과정을 거치며 환자분의 협조도 덕분에 안모 프로파일과 교합이 안정적으로 개선되었습니다. 성장기라고 해서 무조건 교정이 어려운 것은 아닙니다. 적절한 시기에 맞춤형 장치를 선택한다면 골격적 불균형을 효과적으로 바로잡을 수 있습니다.














