인비절라인 갤러리 - Dr.ChoiOrtho / 아너스치과교정과
홈
Archive
RSS
관리자
← 목록으로
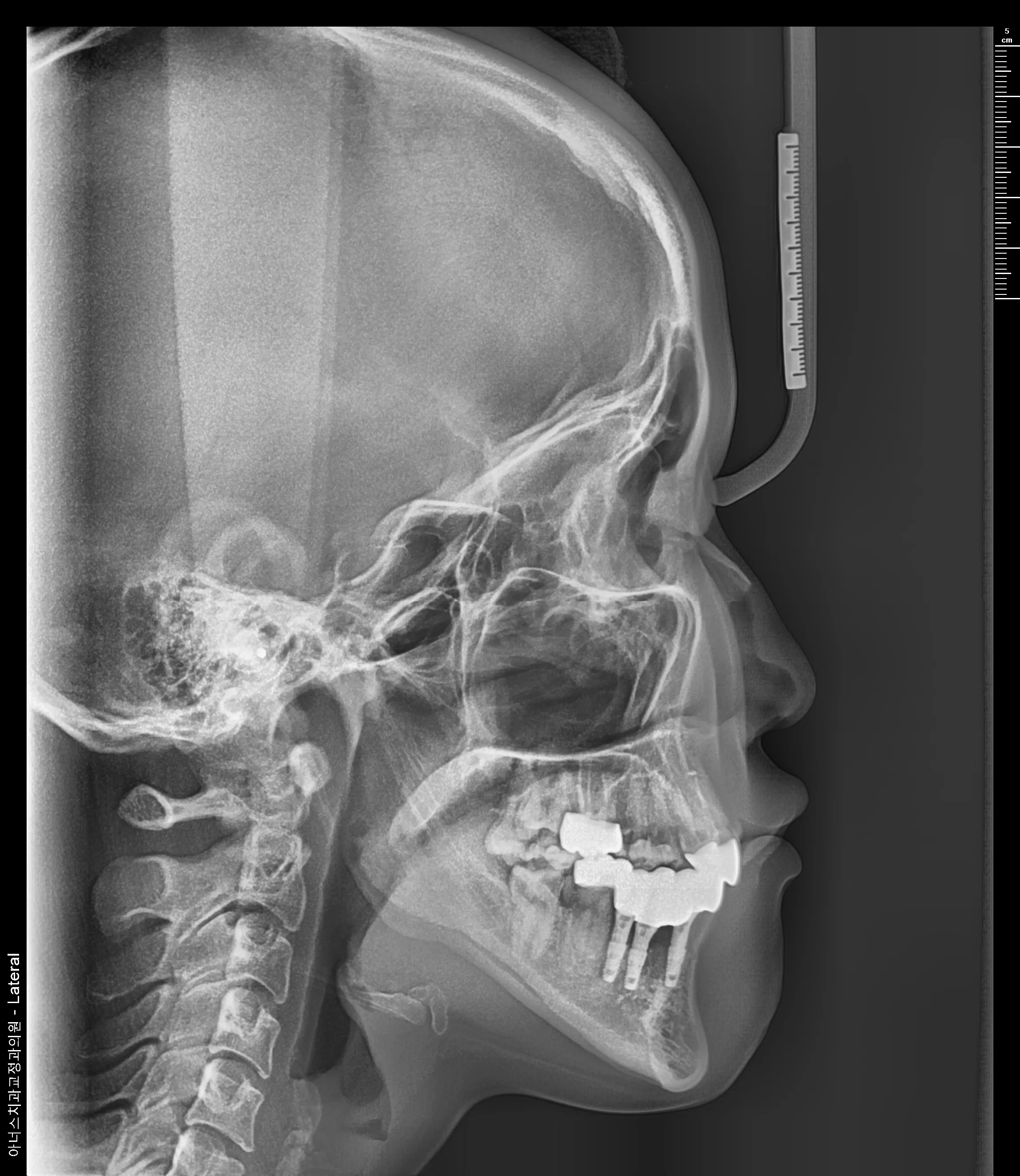
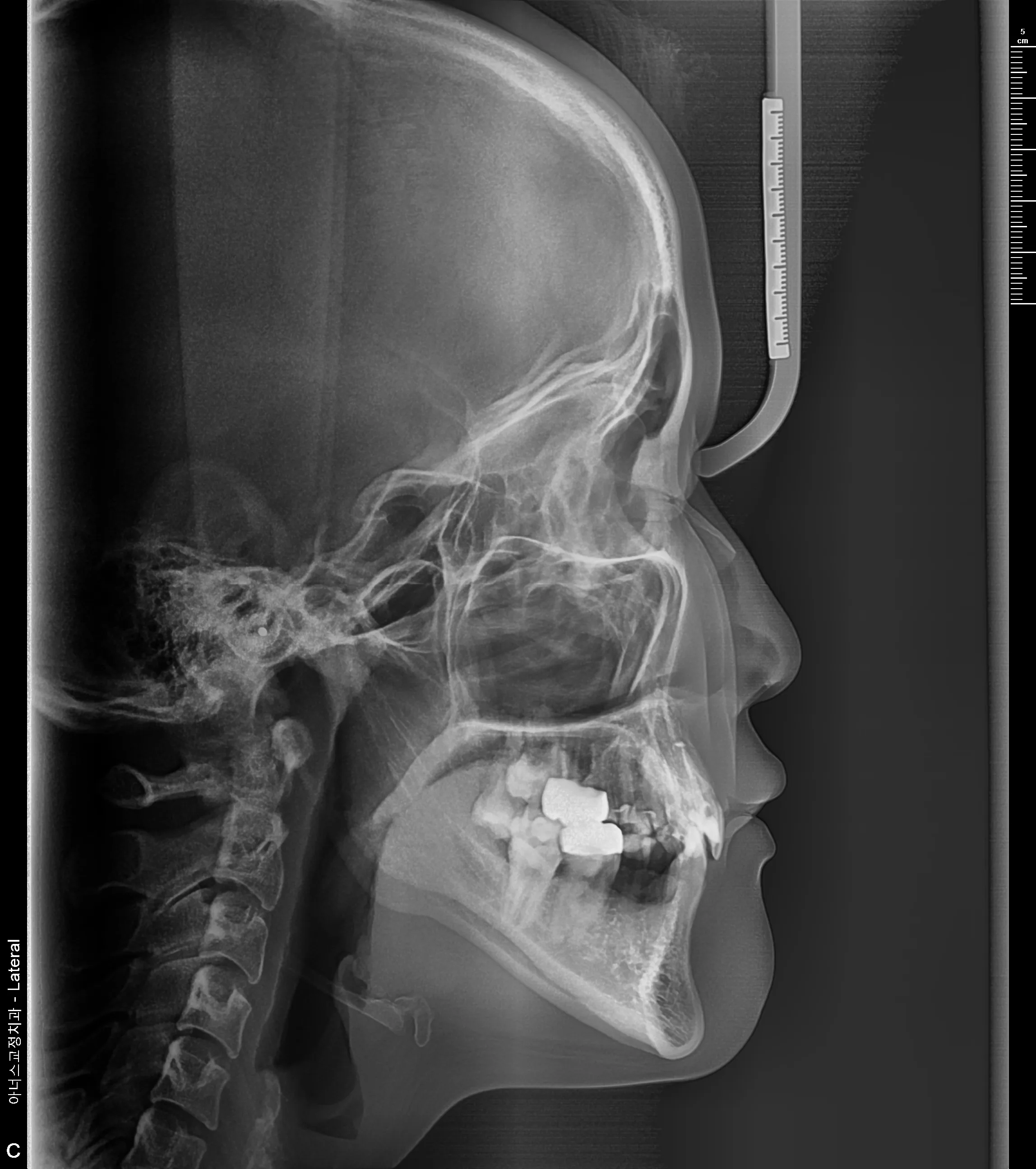
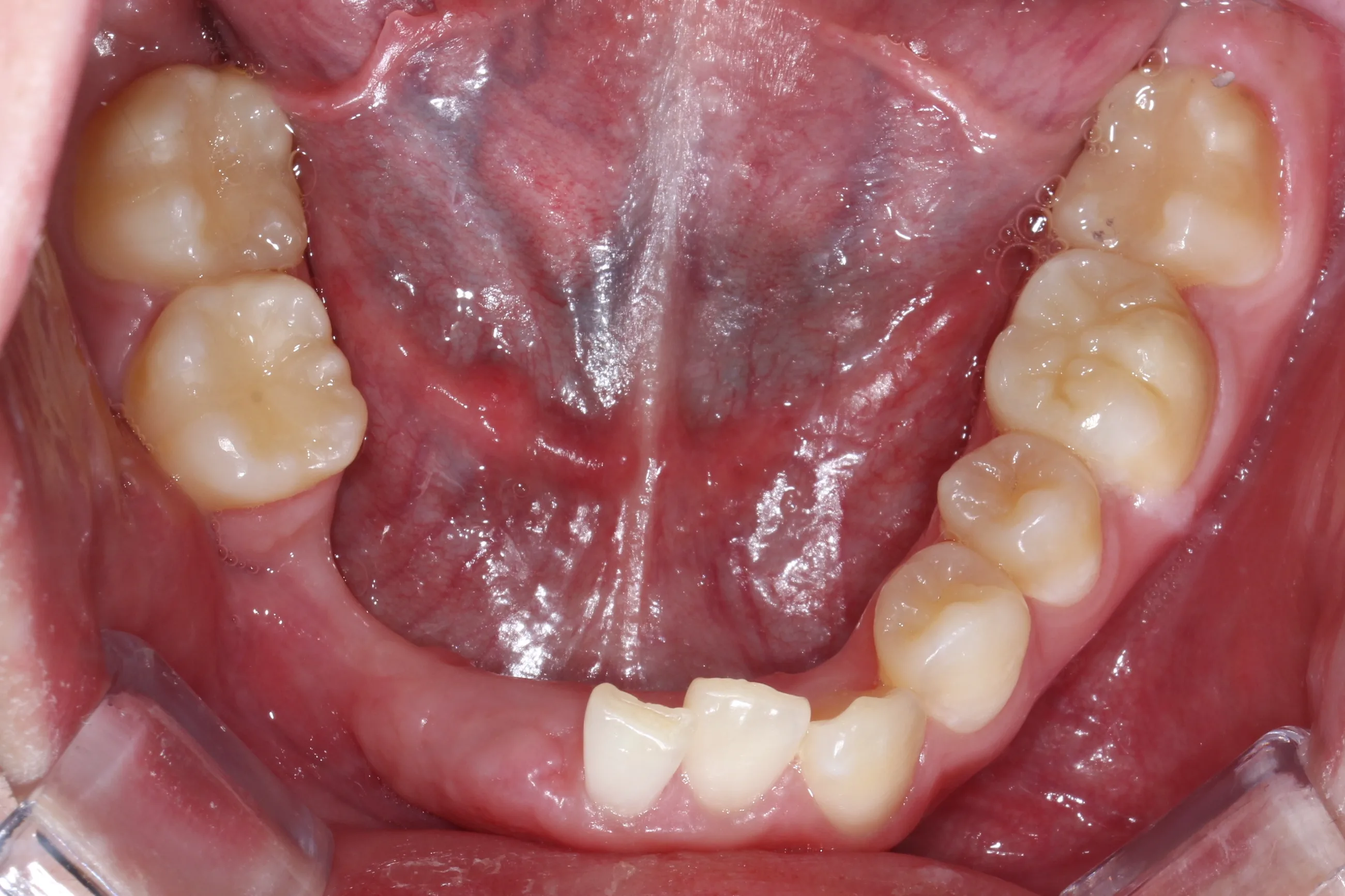
다수치아 상실환자의 교합회복 인비절라인
invsialign 성인
·
2026-03-14
·
조회 8
링크 복사
수정
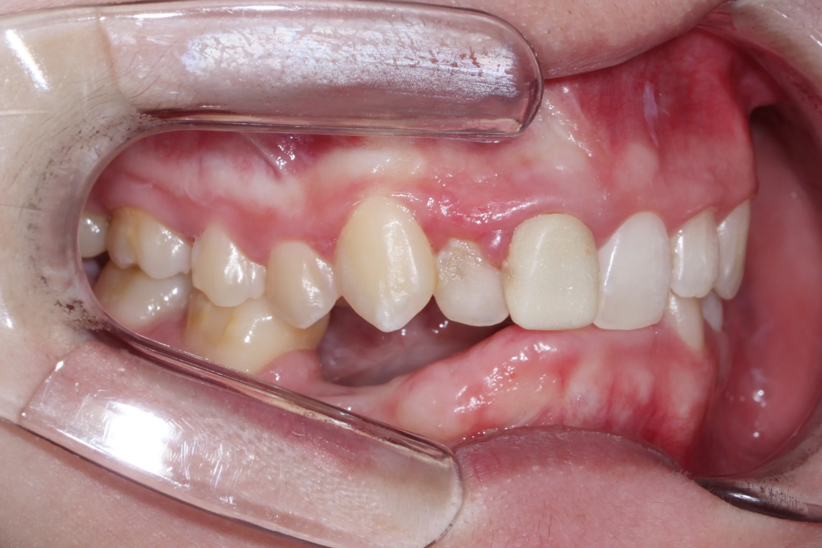
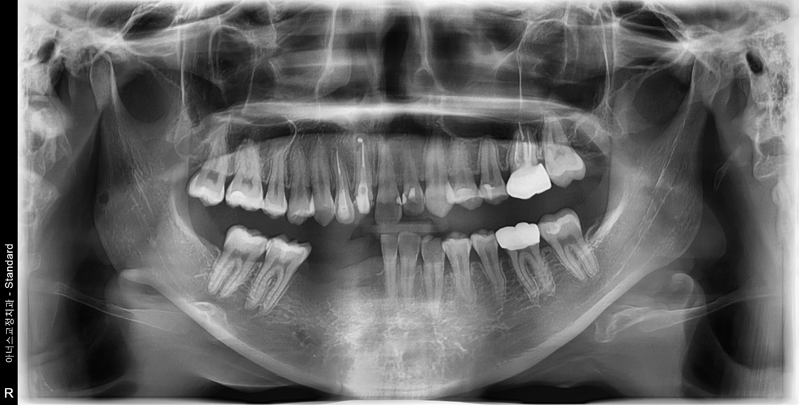
만 21세 환자로, 기존에 사고로 여러 치아를 다치고 상실한 상태로 매우 심한 교합무너짐이 있었습니다.
사진
엑스레이
클린첵
요약
치료전 (Before)
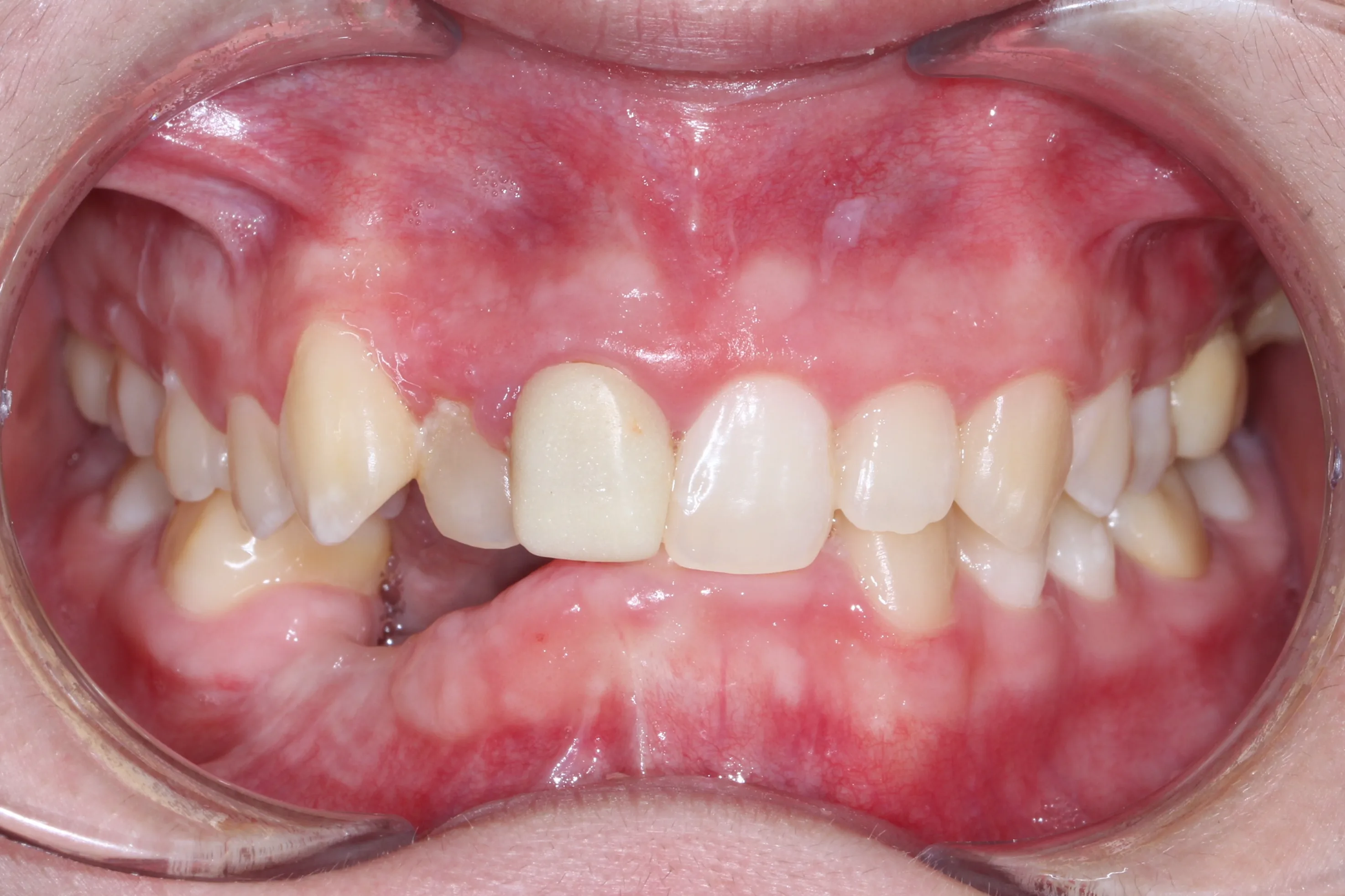
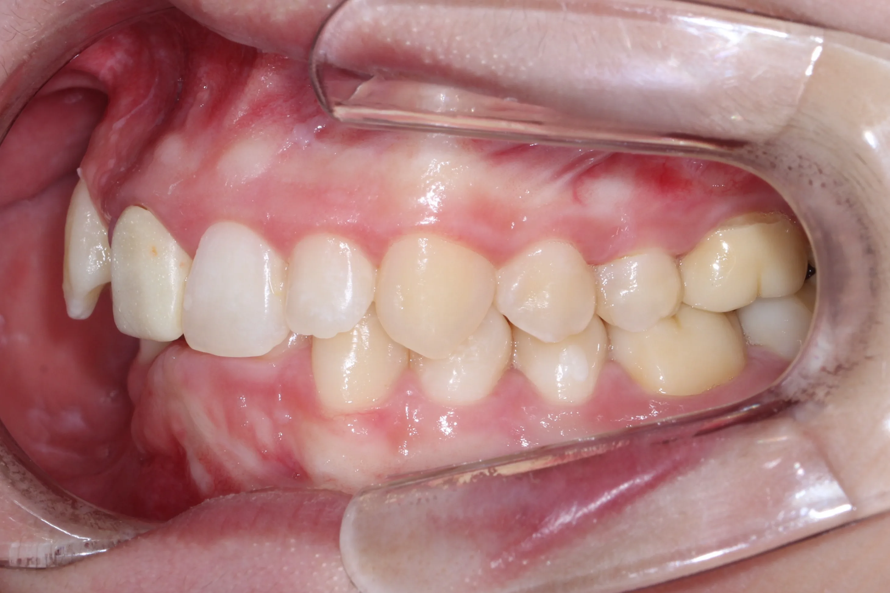
치료후 (After)
치료전 (Before)
치료후 (After)
Initial Plan
사진
엑스레이
클린첵
요약
링크 복사
수정